Wraz z upływem czasu nasza skóra starzeje się. Obserwujemy zmniejszenie się liczby fibroblastów, odpowiedzialnych za naturalną produkcję kolagenu oraz innych tkanek odpowiedzialnych za elastyczność i jędrność skóry. Jednak zwalczanie oznak starzenia wymaga wsparcia. Wieloletnie badania naukowe udowodniły, że aminokwasy w połączeniu z kwasem hialuronowym mogą wspierać proces bio-rewitalizacji. Wskazane połączenie zostało wykorzystane przy tworzeniu linii produktów z serii Jalupro oraz Jalupro HMW.

Czym są preparaty JALUPRO® i JALUPRO® HMW?
Preparaty JALUPRO® powstały dzięki wieloletnim badaniom biotechnologicznym prowadzonym przez włoską firmę Professional Dietetics. Ich opatentowana formuła oparta jest na wysokim stężeniu kwasu hialuronowego i kompleksie aminokwasów (glicyny, L-proliny, L-lizyny i L-leucyny), dzięki czemu komórkom skóry dostarczane są dokładnie te składniki, których potrzebują do prawidłowego funkcjonowania i rozwoju.
JALUPRO®
Zabiegi z jego zastosowaniem przywracają blask i elastyczność skórze oraz zapobiegają utracie jej jędrności. Doskonale działają na skórę twarzy, jak i również całego ciała. Redukują zmarszczki i zapobiegają jej starzeniu. Zastosowanie preparatu zapewnia poprawę wyglądu blizn – potrądzikowych, keloidów oraz rozstępów. Stosowany jest również jako terapia odżywiająca skórę przed i po inwazyjnych zabiegach estetycznych, zapewniając optymalny stopień nawilżenia tkanek oraz tworząc swoiste rusztowanie w ich obrębie, czyniąc skórę bardziej elastyczną. Zabieg Jalupro sprawdza się też znakomicie w przypadku wiotkości skóry ramion, ud, kolan i brzucha.
JALUPRO® HMW
Zadaniem produktu jest bio-rewitalizacja szczególnych obszarów skóry, które są najbardziej narażone na powstawanie głębokich zmarszczek i bruzd – skóry twarzy, szyi i dekoltu. Przeznaczony przede wszystkim dla skóry dojrzałej lub mocno problematycznych obszarów.
JALUPRO® DRINK
Znakomitym uzupełnieniem terapii jest stosowanie doustne Jalupro Drink – suplementu diety zawierającego kompleksy aminokwasów o udowodnionej skuteczności działania wzmacniającego produkcję kolagenu w skórze, zwiększającego efektywność działania wszelkiego typu zabiegów z zastosowaniem medycyny estetycznej.
Przebieg zabiegu:
Aby zapewnić komfort pacjentowi, przed zabiegiem miejsce korekcji znieczulane jest za pomocą specjalnego kremu. Po przygotowaniu preparatu i dezynfekcji skóry wykonuje się iniekcje. Zabieg polega na bezpośrednim wstrzyknięciu podskórnie za pomocą kaniuli lub cienkich igieł odpowiedniego produktu JALUPRO. Preparat wstrzykuje się w niewielkich ilościach.
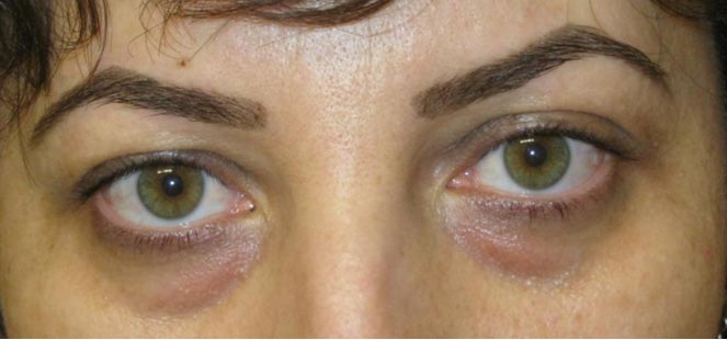
Przed i po:
PRZED | PO |
PRZED | PO |
PRZED | PO |










